USD 42,51
EUR 49,57
ALTIN 5.771,58
BIST100 10.956

Muş’ta Midelerinden 928 Gram Uyuşturucu Çıkan 2 İranlı Tutuklandı

Muş’ta narkotik ekipleri, midelerinde 94 kapsül içinde 928 gram sentetik uyuşturucu taşıyan 2 İranlı şahsı tespit etti. Şüpheliler, çıkarıldıkları mahkemece tutuklandı.

09 Aralık 2024 | 19:13
Son Güncelleme:
Muş’ta Midelerinden 928 Gram Uyuşturucu Çıkan 2 İranlı Tutuklandı - Sayfa 1

Muş Narkotik Suçlarla Mücadele Şube Müdürlüğü ekipleri, uyuşturucu sevkiyatına yönelik yürüttükleri çalışmalar sonucunda İran uyruklu iki şahsın midelerinde uyuşturucu taşıdığını tespit etti. 

Muş’ta Midelerinden 928 Gram Uyuşturucu Çıkan 2 İranlı Tutuklandı - Sayfa 2

Şehirlerarası yolcu otobüsünde seyahat eden şüphelilerin durumlarından şüphelenen ekipler, şahısları sorguladıktan sonra hastaneye sevk etti.

Muş’ta Midelerinden 928 Gram Uyuşturucu Çıkan 2 İranlı Tutuklandı - Sayfa 3

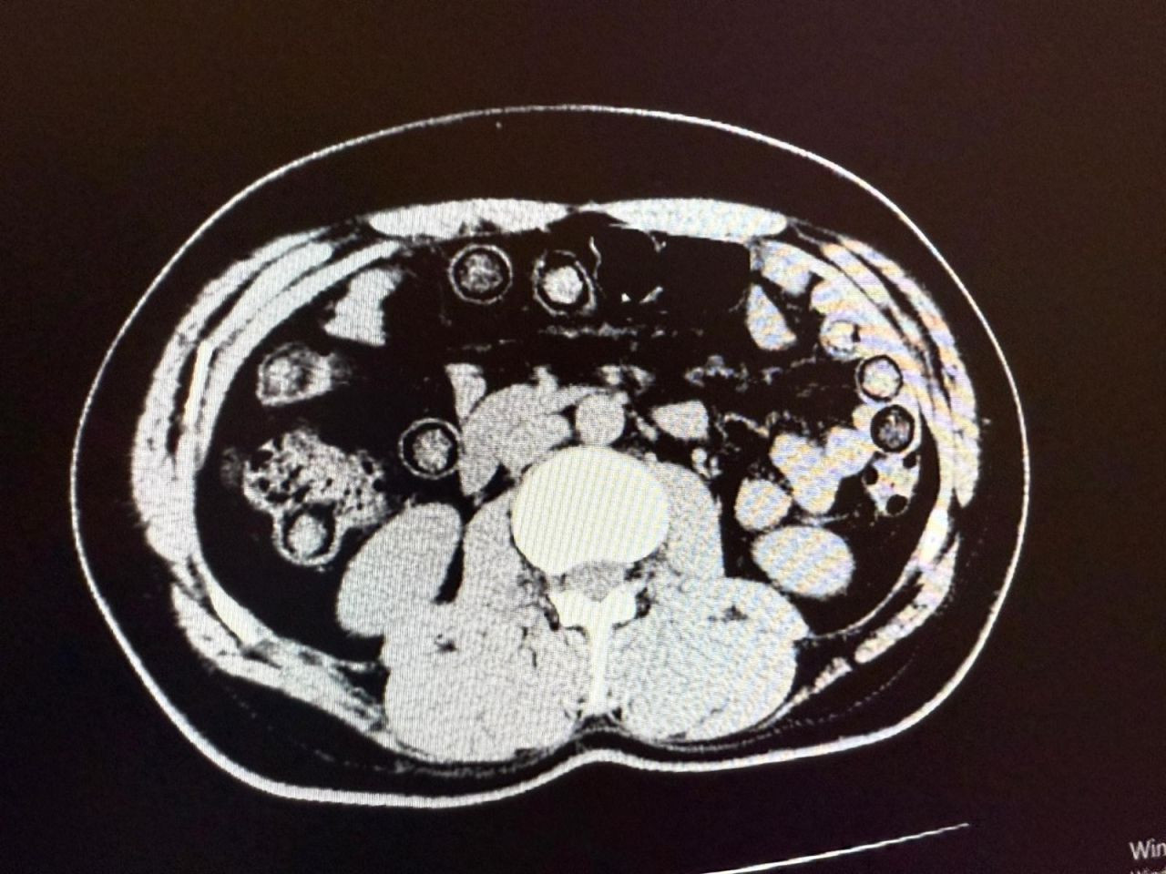
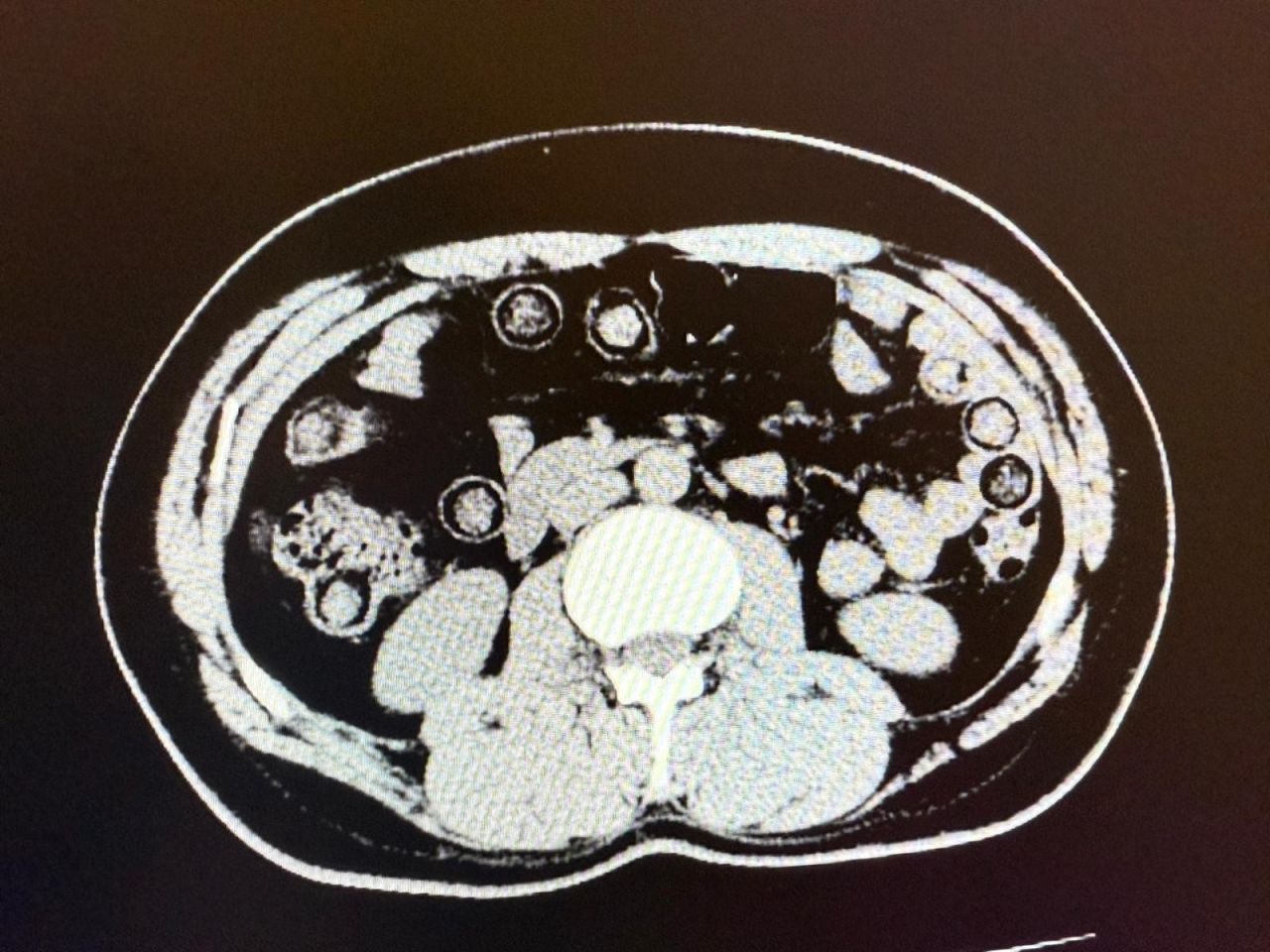
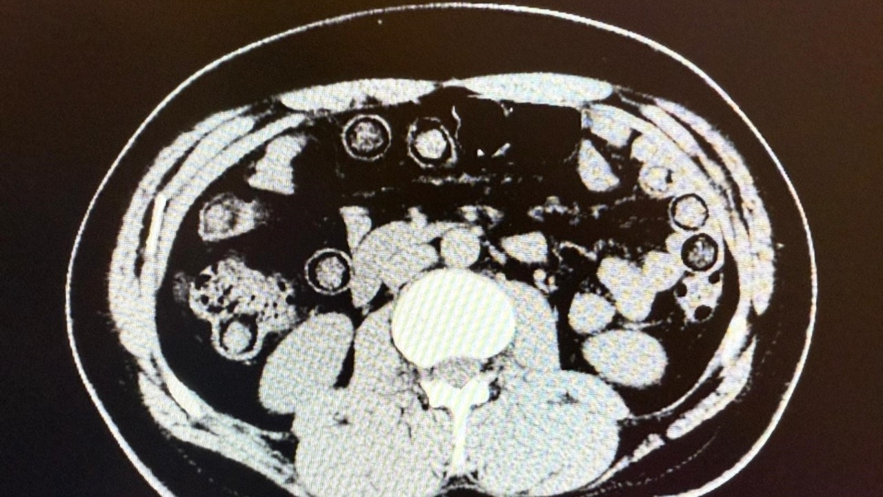
Hastanede yapılan tomografi görüntülerinde, şahısların midelerinde toplam 94 kapsül içinde 928 gram metamfetamin taşıdığı belirlendi. Kapsüller hastane ortamında çıkartılarak muhafaza altına alındı.

Muş’ta Midelerinden 928 Gram Uyuşturucu Çıkan 2 İranlı Tutuklandı - Sayfa 4

Muş Valiliği, olayla ilgili yaptığı açıklamada, “Uyuşturucu madde sevkiyatını önlemek amacıyla yürütülen operasyon neticesinde, şüpheliler hakkında ‘uyuşturucu ve uyarıcı madde ticareti’ suçundan işlem başlatılmış ve çıkarıldıkları mahkemece tutuklanmışlardır” ifadelerine yer verdi.